
Med avansert teknologi får vi en unik og detaljrik oversikt over tenner og munnhule hos hunder, katter, kaniner, marsvin og eksotiske dyr. Dette betyr bedre diagnostikk, raskere behandling og mindre belastning for ditt kjæledyr.
Fordelene med ny teknologi
Den nye røntgenapparatet gir betydelige fordeler sammenlignet med tradisjonelle metoder som bruker dentale røntgenapparater med plateteknologi. Her er noen punkter på hvorfor denne teknologien er et stort skritt fremover for dyrehelse.
1. Rask og effektiv skanning
Tradisjonelle metoder:
– Tar opptil 20 minutter for et sett med 6 bilder, men tar ofte lengre tid.
– Krever flere opptak for å få en fullstendig oversikt.
– Pasienter må ligge i narkose, som øker belastningen på kroppen.
Ny teknologi:
– Hele munnen og deler av hodet skannes på bare 27 sekunder.
– Bildebehandling og rekonstruksjonen tar kun 1,5 minutter.
– Full oversikt over munnhule og tenner på under 2 minutter.
2. Bedre bildekvalitet og flere detaljer
Tradisjonelle metoder:
– Krever nøyaktig plassering av plater for riktig projeksjon og vinkel mot tennene.
– Ofte begrenset til 6-8 bilder, noe som gir en ufullstendig oversikt.
Ny teknologi:
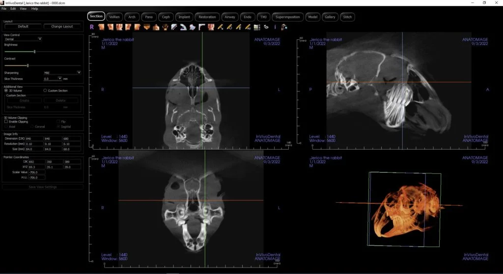
– Gir ekte 3D-bilder med høy oppløsning på 0,1 mm skive.
– Avdekker detaljer som vanlige tannrøntgen ikke kan fremstille.
– Mulighet for 3D-rekonstruksjoner av kjeve og hode i tillegg til panoramabilder.
3. Redusert belastning for dyr
Tradisjonelle metoder:
– Lang tid i narkose som belaster dyrets organer.
– Krever ofte røntgen etter behandling for å sikre at ingen rotrester er igjen.
Ny teknologi:
– Kortere tid i narkose på grunn av raskere skanning.
– Bedre oversikt som kan redusere behovet for ytterligere røntgen etter behandling.


Spesielle funksjoner
- Gjengivelse som lar oss visualisere unik anatomi som ikke er lett å se på standard røntgenbilder, inkludert bløtvevsprofilen og luftveiskanalen.
- 3D panoramabildet erstatter behovet for full munnoversikt som tradisjonelt er tatt med 2D røntgen. Ved å gi oss en full 3D-modell av hodeskallen kan vi raskt identifisere rotnummer, eksponerte furkasjoner, resorberte røtter, ankylose og annen patologi vi kanskje ønsker å undersøke nærmere.
- Forbedrer nøyaktigheten og visualiserer behandlingsmål i 3D som er ideelt for implantater.
- Endodontisk Visualisering: Nøyaktige arbeidslengdemålinger og detaljerte visninger av tannstrukturer.
- Forbedret Luftveisvisualisering: Ideell for brachycephalic hunderaser med luftveisproblemer.
Konklusjon
Dyreklinikken Tertnes setter en ny standard innen dyrehelse med vår iM3 DCT 3D tannrøntgen. Vi tilbyr enestående bildekvalitet og rask diagnostikk som sikrer bedre behandling for ditt kjæledyr. Kontakt oss for mer informasjon om priser og tjenester. Du vil bli overrasket over hvor liten prisforskjellen er, takket være besparelser i arbeidstid og redusert pasientbelastning.










